
Les composites dentaires :
Les composites dentaires sont des biomatériaux esthétique qui permettent la restauration des dents faiblement délabrées (caries, fractures, plombages anciens…)
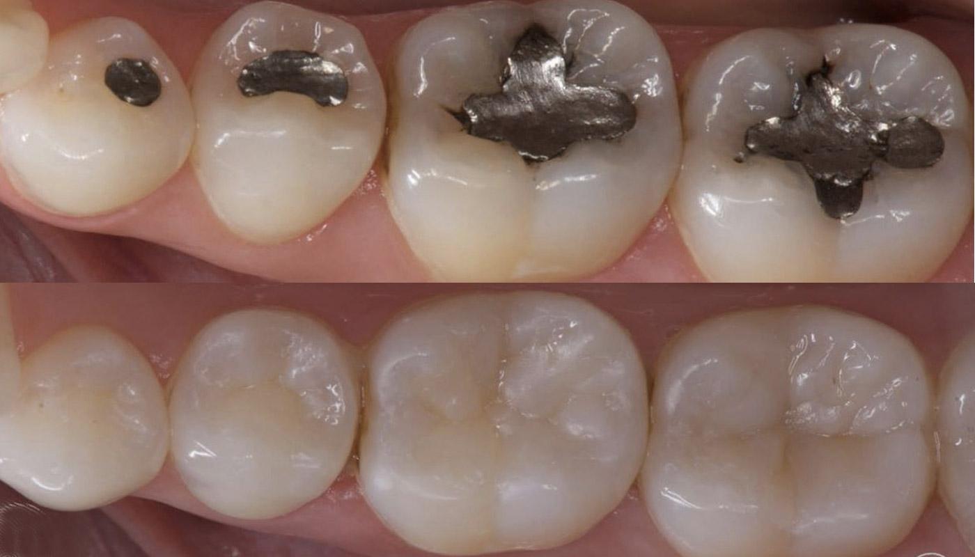
Les Inlays / Onlays
Les inlays / onlays sont des pièces prothétiques sur mesure qui permettent la restauration des dents avec un délabrement important (caries, fractures, plombages anciens et volumineux…)
Grâce à cette technique, nous pouvons restaurer efficacement vos dents et préserver l'esthétique de votre sourire.


Les Couronnes
Lorsqu’une grande partie de la dent est détruite (carie, fractures, dévitalisation, usure…), la réalisation d’une couronne va restaurer et protéger votre dent. Elle est réalisée exclusivement en céramique pour un résultat esthétique et biocompatible, sans métal allergène.


Bridge dentaire
Le bridge dentaire est une prothèse fixe qui permet de remplacer une dent ou plusieurs dents absentes. C'est un ensemble de couronnes reliées entre elles, au minimum 3. Elles reposent sur les dents adjacentes, que l'on appelle « dents piliers “.